Gloria G. Curto
Gloria G. Curto, PhD
With a strong background in developmental biology, stem cell research, and cancer biology, I have developed a versatile career. In my current role as Project Manager for the French Reproducible Research Network, I focus on enhancing research integrity, promoting open science values, and supporting researchers' career development and the advancement of science. This position has allowed me to strenght my organizational and leadership skills, coordinating workgroups, organizing meetings, and fostering collaborations across the scientific community. Prior to this, my academic career included a PhD in developmental neurobiology and two postdoctoral positions, where I explored aspects of cell fate decisions, transcriptional networks, molecular mechanisms in neural stem cells, and oncogenic transformations in cancer. I utilized cutting-edge techniques in genomics, bioinformatics, and stem cell biology, resulting in significant contributions to the understanding of cell differentiation and pathogenesis.
As a postdoctoral researcher, I examined the regulatory roles of Pax3 and Pax7 transcription factors in spinal cord interneuron generation and their involvement in pediatric Rhabdomyosarcoma and the developing spinal cord. My work at the Institut de Biologie de l'École Normale Supérieure and with the Vanessa Ribes group further deepened my expertise in developmental biology and cancer research. I combined traditional lab techniques with high-throughput genomics to reveal key transcriptional networks underlying cellular identity and oncogenic transformation. I have also acquired bioinformatics and data science skills over the years, and I have obtained certifications in data analysis.
Beyond my research, I have been deeply committed to science policy and the advancement of research careers, contributing to various research-related associations focused on improving research practices and integrity. Through these experiences, I have developed a strong ability to connect scientific research with broader community engagement, supporting a sustainable and impactful future for the research ecosystem.
Scientific Career
I am currently employed by the direction of scientific culture and information at INRIA to work as a project manager for the French Reproducible Research Network My missions include the coordination and management of the network and with the network allies, the facilitation ofw orkshops and meetings, the support and guidance of the network members in their activities, the monitoring and reporting of the network goals. These responsibilities support the overarching goal of improving research quality and ensuring that scientific findings are transparent, reliable, and accessible to all.
I was selected to participate in the Data Science Bootcamp training program by Datascientest, a certified organization, where I earned certifications in Python programming for data analysis, data visualization, machine learning, and AI.
Postdoctoral researcher at CNRS-UMR7592 with the financial support of Dr. Ribes' ATIP-AVENIR and La Ligue contre le Cancer - Enfants et Cancer grants.
I studied how the transcriptional activity of Pax3 and Pax7 impacts cell fate decisions during dorsal spinal cord development. I also analyzed the oncogenic activity of PAX3 and PAX7FOXO1 chimeric proteins in the generation of Rhabdomyosarcoma. I used genomics and bioinformatics approaches to characterize the transcriptional network governing these events. We combined it with classic developmental biology techniques, human cell lines and mouse embryonic stem cell differentiation protocols to validate particular candidates or potentially perturbed cellular mechanisms.
Postdoctoral researcher
Lab. Dr. Spassky. Institute de Biologie de l'École Normale Supérieure, Paris. France.From February 2011 to January 2014, I was hired by Inserm-U1024 with the financial support of a La Ligue contre le cancer postdoctoral fellowship.
From September 2010 to January 2011, I was hired by the Association Robert Debré as a postdoctoral researcher in the team of Dr. Spassky.
My project was aimed to identify molecular mechanisms responsible for ependymal cell differentiation. I did a transcriptomic analysis of neural stem cells and differentiating ependymal cells to identify potential candidates. To experimentally validate those candidates I used a combination of in vivo and in vitro techniques, including videomicroscopy.
Title: Neurogenesis and gliogenesis in the rostral brain of adult Pax6 heterozygous mice (+/SeyDey).
Supervisors: José Ramón Alonso Peña and Carmela Gómez Rodríguez.
From July 2008 to August 2010, I was hired as a research assistant by the lab.
From July 2004 to July 2008, I was a fellow of the Spanish Government FPI program for graduate students.
I was interested in the role of the transcription factor Pax6 in adult neurogenesis towards the olfactory bulb.
I analyzed in vivo and in vitro the proliferation, self-renewal, and differentiation abilities of adult progenitors as well as cell survival in Pax6 heterozygous mutants.
I was awarded the Premio Extraordinario de Doctorado prize from University of Salamanca (Spain).
This doctorate prize awards the best thesis by domain. It is based both on the CV of the candidate and the confidential comments of the thesis committee after the PhD defense.
Postgraduate program in Neuroscience
University of Salamanca, Spain.Instituto de Neurociencias de Castilla y León, Spain.
October 2005, D.E.A. Thesis:
Title: Characterization of cell types in the retina of adult Pax6 heterozygous mice (+/SeyDey).
Supervisors: Almudena Velasco and Juan Lara.
Histological characterization of retina cell populations.
Habilitation to become a high school teacher.
During the last two years as undergraduate student, I was already collaborating in the Department of Cell Biology and Pathology and the Institute of Neurosciences.
2002-2003, undergraduate research collaborator fellowship. Supported by the Spanish Government Ministerio de Educación, Cultura y Deporte.
2001-2002, undergraduate research collaborator.
Research internships
Transmission electron microscopy analysis of Pax6 expression in the subventricular zone and the rostral migratory stream.
Transmission electron microscopy analysis of the connectivity of distinct populations of periglomerular cells in mice.
Pax6 regulation by PDGF signalling and its relationship with the pattern of expression in brain tumours (Glioblastoma multiforme).
Cell Culture. Adult mice neurospheres proliferation, differentiation, and self-renewal experiments.
Publications
-
The PAX-FOXO1s trigger fast trans-differentiation of chick embryonic neural cells into alveolar rhabdomyosarcoma with tissue invasive properties limited by S phase entry inhibition. Curto G.G.*, Der Vartanian A.*, Frarma Y.E.*, Manceau L.*, Baldi L.*, Prisco S., Elarouci N., Causeret F., Korenkov D., Rigolet M., Aurade F., de Reynies A., Contremoulins V., Relaix F., Faklaris O., Briscoe J., Gilardi-Hebenstreit P., Ribes V. PLoS Genet. (2020), 16(11): e1009164.
*: Authors contributed equally to this work.
PLOS Genetics - HAL - DOI: 10.1371/journal.pgen.1009164
-
Pax3- and Pax7-mediated Dbx1 regulation orchestrates the patterning of intermediate spinal interneurons. Gard C.*, Curto G.G.*, Frarma YE., Chollet E., Duval N., Auzié V., Auradé F., Vigier L., Relaix F., Pierani A., Causeret F., Ribes V. Developmental Biology (2017), 432(1):24-33.
*: Both authors contribute equally to this work.
Pubmed - HAL - DOI: 10.1016/j.ydbio.2017.06.014
-
Structures and properties of PAX linked regulatory networks architecting & pacing the emergence of neuronal diversity. Curto G.G., Gard C., Ribes V. Seminars in Cell and Developmental Biology (2015), 44: 75-86. Invited Review.
Pubmed - DOI: 10.1016/j.semcdb.2015.09.010
-
Pax6 is essential for the maintenance and multi-lineage differentiation of neural stem cells, and for neuronal incorporation into the adult olfactory bulb. Curto G.G., Nieto-Estévez V., Hurtado-Chong A., Valero J., Gómez C., Alonso J.R, Weruaga E., Vicario-Abejón C. Stem cells and Development (2014), 23(23):2813-30.
Pubmed - DOI: 10.1089/scd.2014.0058
-
Tubulin glycylases and glutamylases have distinct functions in stabilization and motility of ependymal cilia. Bosch Grau M., Gonzalez Curto G., Rocha C., Magiera M.M., Marques Sousa P., Giordano T., Spassky N., Janke C. The Journal of Cell Biology (2013), 202(3):441-51.
Pubmed - DOI: 10.1083/jcb.201305041
-
Changes in the serotonergic system and in brain-derived neurotrophic factor distribution in the main olfactory bulb of pcd mice before and after mitral cell loss. Gómez C., Curto G.G., Baltanás F.C., Valero J., O'Shea E., Colado M.I., Díaz D., Weruaga E., Alonso J.R. Neuroscience (2012), 201:20-33.
Pubmed - DOI: 10.1016/j.neuroscience.2011.11.025
-
Types of cholecystokinin-containing periglomerular cells in the mouse olfactory bulb. Baltanás F.C., Curto G.G., Gómez C., Díaz D., Murias A.R., Crespo C., Erdelyi F., Szabó G., Alonso J.R., Weruaga E. Journal of Neuroscience Research (2011), 89(1):35-43.
Pubmed - DOI: 10.1002/jnr.22521
-
Modelos animales en el estudio de los Trastornos del Espectro Autista. Gómez C., Díaz D., Airado Cerrato C., González Curto G., Murias A. R., Sánchez Recio J., Weruaga E., Alonso J.R. Book Chapter. 2010. Investigaciones sobre autismo en español: problemas y perspectivas, 239-248. Centro de Psicología Aplicada. ISBN 978-84-614-1786-5.
-
Chemical characterization of Pax6-immnoreactive periglomerular neurons in the mouse olfactory bulb. Baltanás F.C., Weruaga E., Murias A.R., Gómez C., Curto G.G., Alonso J.R. Cellular and Molecular Neurobiology (2009), 29:1081-1085.
Pubmed - DOI: 10.1007/s10571-009-9405-3
-
Modifications of the retina neuronal populations of the heterozygous mutant small eye mouse, the SeyDey. Curto G.G., Lara J.M., Parrilla M., Aijon A., Velasco A. Brain Research (2007), 1127:163-176.
Pubmed - DOI: 10.1016/j.brainres.2006.10.007
-
Sex differences in catechol contents in the olfactory bulb of control and unilaterally deprived rats. Gómez C., Briñón J.G., Valero J., Recio J.S., Murias A.R., Curto G.G., Orio L., Colado M.I., Alonso J.R. European Journal of Neuroscience (2007), 25:1517-1528.
Pubmed - DOI: 10.1111/j.1460-9568.2007.05407.x
-
Changes in cell migration and survival in the olfactory bulb of the pcd/pcd mouse. Valero J., Weruaga E., Murias A.R., Recio J.S., Curto G.G., Gómez C., Alonso J.R. Developmental Neurobiology (2007), 67:839-859.5.
Pubmed - DOI: 10.1002/dneu.20352
Data science & Bioinformatics | Organizative | Communication | Technical | Funding & awards
Data science, bioinformatics, statistics, and coding
Programming languages/computer skills
R, Bash, Python.
Data science
Data analysis and data visualization with Python, classic machine learning algorithms, text mining, network analysis, PySpark, Scikit-learn.
Related trainings: Certifications and diploma by DataSciencetest diploma by DataSciencetest.
You can have a look at my report of the final data project here.
or visit my GitHub repository for the project here or the report repository.
Bioinformatics
RNA-seq. Bioinformatics analysis of differentially expressed genes/transcripts.
ATACseq and ChIP-seq. Peak calling, peak annotation, motif analysis.
Related trainings:
- CSAMA 2016. Statistical Data Analysis for Genome-Scale Biology.
The course consisted of both theoretical lessons and practical hands-on exercises based on the R / Bioconductor environment.
One week intensive summer school. Brixen, Italy. July, 2016 CSAMA 2016 Program. CSAMA 2016 Lecturers
Certificate of attendance.
- Bioinformatics Methods II. It covered motif searching, protein-protein
interactions, structural bioinformatics, gene expression data analysis, and cis-element predictions.
Coursera online course. University of Toronto. March-April, 2014.
Statement of accomplishment with distinction.
- Bioinformatics. Level II. Initiation to the bioinformatics treatment of RNA-seq generated data.
INSERM, DR - Kremlin Bicêtre - Paris XI. 13-17 May 2013.
- Bioinformatics. Level I. Analysis of molecular sequences.
INSERM, DR - Kremlin Bicêtre - Paris XI. 18-22 February 2013.
Data analysis, statistical inference, and R programming
Related trainings:
- Getting and Cleaning Data. The course covers the basics needed for collecting, cleaning, and sharing
data. Coursera online course. Johns Hopkins Bloomberg School of Public Health. July-August 2014.
Statement of accomplishment with distinction.
- Exploratory Data Analysis. The course covers in detail the plotting systems in R as well as some of the
basic principles of constructing data graphics, and some of the common multivariate statistical techniques used
to visualize high-dimensional data. Coursera online course. Johns Hopkins Bloomberg School of Public Health.
July-August 2014.
Statement of accomplishment with distinction.
- R Programming. The course covers practical issues in statistical computing which includes programming in R, reading data into R, accessing R packages, writing R functions, debugging, and organizing and commenting R code. Coursera online course. Professor: Roger D. PENG, PhD. Johns Hopkins Bloomberg School of Public Health. June-July 2014.
Statement of accomplishment with distinction.
- The Data Scientish Toolbox. This course has two parts. The first is a conceptual introduction to the ideas behind turning data into actionable knowledge. The second is a practical introduction to the programming tools like version control, markdown, git, Github, R, and Rstudio.
Coursera online course. Johns Hopkins Bloomberg School of Public Health. June-July 2014.
Statement of accomplishment with
distinction.
- Data Analysis and Statistical Inference. This course introduces students to core statistical concepts
such as exploratory data analysis, statistical inference and modeling, and basic probability, as well as
statistical computing with R. Coursera online course. Duke University. March-April 2014.
Statement of accomplishment with
distinction.
Data science & Bioinformatics | Organizative | Communication | Technical | Funding & awards
Organizative skills
Leadership/Management skills
-
From september 2024 As a core member of the steering committee of the French Reproducibility Network, I play a key role in coordinating the network's activities and stimulating collaboration with organizations in the open science ecosystem.
-
2011 to 2013 I was an active member of the directive team of the students and postdocs
association of the Institut de Biologie de l'École Normale Supérieure
(SPIBens).
As a part of my activity, I participated in the organization of the
Young Researchers in Life Science meeting 2012, in Paris.
-
2004 to 2011 I was an active member of the spanish Young Researchers Federation
(Federacion de Jovenes Investigadores;
FJI).
2008 to 2009 I was part of the association board, the last 6 months as vice-president.
I participated in the planning and coordination of the work of the association and represented the association
in different events and negotiations related to science politics.
2005 to 2007 I was in charge of a national work group dedicated to the preparation of
informative material on the activities of the association and science policy, promotional objects and the
organization of informative/formative and protest events.
Conference organization
- Member of the organizative committee:
Reproducible Research Days 2025, in Lyon. It is the annual event of the French Reproducibility Network.
As part of my involvement in organizing the conference, I actively contribute to securing funding and managing logistical arrangements. I assist in identifying potential funding sources and preparing grant applications to ensure financial support for the event. Additionally, I oversee key logistical aspects, such us inscriptions, communication, preparation of materials and diffusion of the event.
- Member of the organizative committee:
Young Researchers in Life Science meeting 2012 (https://yrls.fr/), in Paris. The YRLS meeting is organized
once a year by the young researchers associations of the five leading life science research institutes of Paris.
Apart from diverse general organization tasks, I participated in the selection of participants for oral
presentations and as a poster judge for the developmental and cell biology sections.
- Chair:
VII Young Researchers meeting (“Scientific Politics in Spain: Needs and Proposals"). Barcelona (Spain)
25-27 February 2009.
- Coordinator of the scientific program:
VI Young Researchers meeting (“Research is future"). Granada (Spain) 13-15 February 2008.
Data science & Bioinformatics | Organizative | Communication | Technical | Funding & awards
Communication skills
Scientific publications
I have published 11 papers in peer reviewed journals, five of them as first author and three as second author.
I have 5 contributions as first author in oral presentations in meetings and 4 poster contributions.
I have participated in lab meetings, seminars and educational activities in english, french and spanish in a
regular basis, so I'm used to present my work to different audiences and to communicate effectively with people accross disciplines.
Teaching
- Qualification aux fonctions de maître de conferences Cell Biology and Neuroscience sections. France, 2016.
- Practical undergraduate teaching in different subjects of Cell Biology, Neurobiology and Histology areas (University of Salamanca). 210 hours in the areas of Cell biology, Neurobiology and Histology. 2006-2008
- Pedagogic Aptitude Diploma. University of Salamanca, Spain. Diploma needed to become a high school teacher in Spain. 2004
Popular science activities
- Educational activities at the exhibition "Neurosciences in the XXI century". Science week. Salamanca, 2008
- Popular science awards:
-
Al filo de lo posible: detectar y parar la neurodegeneración.
Second place. Popular science poster
contest. VII Young researchers meeting. Barcelona, Spain. February, 2009.
-
Un largo e inesperado viaje: de los huesos al cerebro.
Second place. Popular science poster contest.
VI Young Researchers meeting. Granada, Spain. February, 2008.
-
¿Quién dijo que el cerebro no cambia?
Third place. Popular science poster contest.
IV Young Researchers meeting. Madrid, Spain. March, 2006.
Technical skills
Histological analysis
Tissue sectioning (Vibratome, Cryostate, Parafine).
Immunohistochemistry and immunoflourescence (in toto, free floating, cell culture and slides).
In situ hybridization.
Semi thin and ultra thin sectioning for transmission electron microscopy (TEM).
Pre and post-embedding immunohistochemistry for TEM.
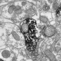
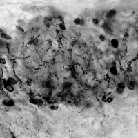
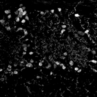
Up: cryostat section of a mouse retina stained with hematoxilin-eosin (left);
Calbindin inmunohistochemistry, labeling olfactory bulb periglomerular interneurons (center);
Calretinin inmunofluorescence, labeling olfactory bulb periglomerular interneurons (right).
Down: staining of proliferative (green) and total (red) cells in an adult neural stem cells derived neurosphere (left);
in situ hybridization staining of the olfactory bulb (center);
Dopaminergic (dark precipitate) olfactory bulb periglomerular interneuron contacting a mitral cell (TEM) (right).
Cultures
Neurosphere assays, proliferation.
Clonal analysis to assess self-renewal and multipotency of stem cells.
Cell differentiation assays.
Primary cultures (astrocytes and ependymal cells).
Explants for the analysis of neuronal migration.
Brain slice organotypic cultures.
Mouse embryonic stem cells culture.
Neurospheres grown from adult olfactory bulb stem cells (left);
Neurons (green and red) differentiated from adult olfactory bulb stem cells (center);
Ependymal cells (cell junctions in green; multicilia in red) differentiated from postnatal neural stem cells (right).
Videomicroscopy
Cells in culture.
Explants.
Brain slices.
Electroporated neuroblasts (red) migrating out of a postnatal rostral migratory stream explant (left);
Electroporated neuroblasts migrating through the rostral migratory stream towards the olfactory bulb
(organotypic culture) (right).
Electroporation
In vivo electroporation of postnatal brain ventricular zone and embryonic chick neural tube.
Electroporated postnatal mice lateral ventricular wall dissection, bright field (left);
Electroporated postnatal mice lateral ventricular wall dissection, electroporated cells in red (right).
Molecular biology and Biochemistry
RNA and DNA isolation.
PCR and RT-PCR.
Western Blot.
Immunoprecipitation.
Cloning.
Big equipment
Laser confocal microscope and spinning disk.
Transmission electron microscope.
Experimental models
Organization and maintenance of mice colonies.
Related trainings:
B level certificate: Experimental models project designer
(according to the French law; July, 2015).
Certificate of qualified staff to work with experimental models
(according to the Spanish law; July, 2006).
Data science & Bioinformatics | Organizative | Communication | Technical | Funding & awards
Funding and awards
- La ligue contre le cancer postdoctoral fellowship. February 2011-January 2014.
Cilia Biology and Neurogenesis Team. Institut de Biologie de l'Ecole Normale Supérieure (IBENS). Paris (France).
INSERM U1024.
- Doctoral Award “Premio Extraordinario de Doctorado" by University of Salamanca (Spain). 2010
- Research internship grant. Supported by “Ministerio de Educación y Ciencia", Spain. 2007.
Dpt. Cancer Biology and Genetics. Memorial Sloan Kettering Cancer Center, New York (USA). 2007, 5 months.
- Research internship grant. Supported by “Ministerio de Educación y Ciencia", Spain. 2005.
Dpto. Biología Celular y Parasitología. University of Valencia (Spain).
- Predoctoral fellowship. Supported by “Ministerio de Educación y Ciencia, FPI program" Spanish Government.
2004-2008. Institute of Neuroscience of Castilla y León. University of Salamanca. Salamanca (Spain).
- Undergraduate collaboration fellowship. Supported by “Ministerio de Educación, Cultura y Deporte" Spanish
Government. 2002-2003. Institute of Neuroscience of Castilla y León, Spain.
- Popular science awards
-
Al filo de lo posible: detectar y parar la neurodegeneración.
Second place. Popular science poster contest. VII Young researchers meeting. Barcelona, Spain.
February, 2009.
-
Un largo e inesperado viaje: de los huesos al cerebro.
Second place. Popular science poster contest. VI Young Researchers meeting. Granada, Spain.
February, 2008
-
¿Quién dijo que el cerebro no cambia?
Third place. Popular science poster contest. IV Young Researchers meeting. Madrid, Spain. March, 2006
Data science & Bioinformatics | Organizative | Communication | Technical | Funding & awards
Data science, bioinformatics, statistics, and coding
Programming languages/computer skills
R, Bash, Python.Data science
Data analysis and data visualization with Python, classic machine learning algorithms, text mining, network analysis, PySpark, Scikit-learn.
Related trainings: Certifications and diploma by DataSciencetest diploma by DataSciencetest.
You can have a look at my report of the final data project here.
or visit my GitHub repository for the project here or the report repository.
Bioinformatics
RNA-seq. Bioinformatics analysis of differentially expressed genes/transcripts.
ATACseq and ChIP-seq. Peak calling, peak annotation, motif analysis.
Related trainings:
- CSAMA 2016. Statistical Data Analysis for Genome-Scale Biology.
The course consisted of both theoretical lessons and practical hands-on exercises based on the R / Bioconductor environment.
One week intensive summer school. Brixen, Italy. July, 2016 CSAMA 2016 Program. CSAMA 2016 Lecturers
Certificate of attendance.
- Bioinformatics Methods II. It covered motif searching, protein-protein
interactions, structural bioinformatics, gene expression data analysis, and cis-element predictions.
Coursera online course. University of Toronto. March-April, 2014.
Statement of accomplishment with distinction.
- Bioinformatics. Level II. Initiation to the bioinformatics treatment of RNA-seq generated data. INSERM, DR - Kremlin Bicêtre - Paris XI. 13-17 May 2013.
- Bioinformatics. Level I. Analysis of molecular sequences. INSERM, DR - Kremlin Bicêtre - Paris XI. 18-22 February 2013.
- CSAMA 2016. Statistical Data Analysis for Genome-Scale Biology.
The course consisted of both theoretical lessons and practical hands-on exercises based on the R / Bioconductor environment.
One week intensive summer school. Brixen, Italy. July, 2016 CSAMA 2016 Program. CSAMA 2016 Lecturers
Data analysis, statistical inference, and R programming
Related trainings:- Getting and Cleaning Data. The course covers the basics needed for collecting, cleaning, and sharing
data. Coursera online course. Johns Hopkins Bloomberg School of Public Health. July-August 2014.
Statement of accomplishment with distinction.
- Exploratory Data Analysis. The course covers in detail the plotting systems in R as well as some of the
basic principles of constructing data graphics, and some of the common multivariate statistical techniques used
to visualize high-dimensional data. Coursera online course. Johns Hopkins Bloomberg School of Public Health.
July-August 2014.
Statement of accomplishment with distinction.
- R Programming. The course covers practical issues in statistical computing which includes programming in R, reading data into R, accessing R packages, writing R functions, debugging, and organizing and commenting R code. Coursera online course. Professor: Roger D. PENG, PhD. Johns Hopkins Bloomberg School of Public Health. June-July 2014.
Statement of accomplishment with distinction.
- The Data Scientish Toolbox. This course has two parts. The first is a conceptual introduction to the ideas behind turning data into actionable knowledge. The second is a practical introduction to the programming tools like version control, markdown, git, Github, R, and Rstudio.
Coursera online course. Johns Hopkins Bloomberg School of Public Health. June-July 2014.
Statement of accomplishment with
distinction.
- Data Analysis and Statistical Inference. This course introduces students to core statistical concepts
such as exploratory data analysis, statistical inference and modeling, and basic probability, as well as
statistical computing with R. Coursera online course. Duke University. March-April 2014.
Statement of accomplishment with
distinction.
- Getting and Cleaning Data. The course covers the basics needed for collecting, cleaning, and sharing
data. Coursera online course. Johns Hopkins Bloomberg School of Public Health. July-August 2014.
Statement of accomplishment with distinction.
Data science & Bioinformatics | Organizative | Communication | Technical | Funding & awards
Organizative skills
Leadership/Management skills
-
From september 2024 As a core member of the steering committee of the French Reproducibility Network, I play a key role in coordinating the network's activities and stimulating collaboration with organizations in the open science ecosystem.
-
2011 to 2013 I was an active member of the directive team of the students and postdocs association of the Institut de Biologie de l'École Normale Supérieure (SPIBens).
As a part of my activity, I participated in the organization of the Young Researchers in Life Science meeting 2012, in Paris. -
2004 to 2011 I was an active member of the spanish Young Researchers Federation (Federacion de Jovenes Investigadores; FJI).
2008 to 2009 I was part of the association board, the last 6 months as vice-president. I participated in the planning and coordination of the work of the association and represented the association in different events and negotiations related to science politics.
2005 to 2007 I was in charge of a national work group dedicated to the preparation of informative material on the activities of the association and science policy, promotional objects and the organization of informative/formative and protest events.
Conference organization
- Member of the organizative committee:
Reproducible Research Days 2025, in Lyon. It is the annual event of the French Reproducibility Network. As part of my involvement in organizing the conference, I actively contribute to securing funding and managing logistical arrangements. I assist in identifying potential funding sources and preparing grant applications to ensure financial support for the event. Additionally, I oversee key logistical aspects, such us inscriptions, communication, preparation of materials and diffusion of the event. - Member of the organizative committee:
Young Researchers in Life Science meeting 2012 (https://yrls.fr/), in Paris. The YRLS meeting is organized once a year by the young researchers associations of the five leading life science research institutes of Paris. Apart from diverse general organization tasks, I participated in the selection of participants for oral presentations and as a poster judge for the developmental and cell biology sections. - Chair:
VII Young Researchers meeting (“Scientific Politics in Spain: Needs and Proposals"). Barcelona (Spain) 25-27 February 2009. - Coordinator of the scientific program:
VI Young Researchers meeting (“Research is future"). Granada (Spain) 13-15 February 2008.
Data science & Bioinformatics | Organizative | Communication | Technical | Funding & awards
Communication skills
Scientific publications
I have published 11 papers in peer reviewed journals, five of them as first author and three as second author.
I have 5 contributions as first author in oral presentations in meetings and 4 poster contributions.
I have participated in lab meetings, seminars and educational activities in english, french and spanish in a regular basis, so I'm used to present my work to different audiences and to communicate effectively with people accross disciplines.
Teaching
- Qualification aux fonctions de maître de conferences Cell Biology and Neuroscience sections. France, 2016.
- Practical undergraduate teaching in different subjects of Cell Biology, Neurobiology and Histology areas (University of Salamanca). 210 hours in the areas of Cell biology, Neurobiology and Histology. 2006-2008
- Pedagogic Aptitude Diploma. University of Salamanca, Spain. Diploma needed to become a high school teacher in Spain. 2004
Popular science activities
- Educational activities at the exhibition "Neurosciences in the XXI century". Science week. Salamanca, 2008
- Popular science awards:
-
Al filo de lo posible: detectar y parar la neurodegeneración.
Second place. Popular science poster
contest. VII Young researchers meeting. Barcelona, Spain. February, 2009.
-
Un largo e inesperado viaje: de los huesos al cerebro.
Second place. Popular science poster contest.
VI Young Researchers meeting. Granada, Spain. February, 2008.
-
¿Quién dijo que el cerebro no cambia?
Third place. Popular science poster contest.
IV Young Researchers meeting. Madrid, Spain. March, 2006.
-
Al filo de lo posible: detectar y parar la neurodegeneración.
Technical skills
Histological analysis
Tissue sectioning (Vibratome, Cryostate, Parafine).
Immunohistochemistry and immunoflourescence (in toto, free floating, cell culture and slides).
In situ hybridization.
Semi thin and ultra thin sectioning for transmission electron microscopy (TEM).
Pre and post-embedding immunohistochemistry for TEM.
Up: cryostat section of a mouse retina stained with hematoxilin-eosin (left); Calbindin inmunohistochemistry, labeling olfactory bulb periglomerular interneurons (center); Calretinin inmunofluorescence, labeling olfactory bulb periglomerular interneurons (right). Down: staining of proliferative (green) and total (red) cells in an adult neural stem cells derived neurosphere (left); in situ hybridization staining of the olfactory bulb (center); Dopaminergic (dark precipitate) olfactory bulb periglomerular interneuron contacting a mitral cell (TEM) (right).
Cultures
Neurosphere assays, proliferation.
Clonal analysis to assess self-renewal and multipotency of stem cells.
Cell differentiation assays.
Primary cultures (astrocytes and ependymal cells).
Explants for the analysis of neuronal migration.
Brain slice organotypic cultures. Mouse embryonic stem cells culture.
Neurospheres grown from adult olfactory bulb stem cells (left); Neurons (green and red) differentiated from adult olfactory bulb stem cells (center); Ependymal cells (cell junctions in green; multicilia in red) differentiated from postnatal neural stem cells (right).
Videomicroscopy
Cells in culture.
Explants.
Brain slices.Electroporated neuroblasts (red) migrating out of a postnatal rostral migratory stream explant (left); Electroporated neuroblasts migrating through the rostral migratory stream towards the olfactory bulb (organotypic culture) (right).
Electroporation
In vivo electroporation of postnatal brain ventricular zone and embryonic chick neural tube.
Electroporated postnatal mice lateral ventricular wall dissection, bright field (left); Electroporated postnatal mice lateral ventricular wall dissection, electroporated cells in red (right).
Molecular biology and Biochemistry
RNA and DNA isolation.
PCR and RT-PCR.
Western Blot.
Immunoprecipitation.
Cloning.
Big equipment
Laser confocal microscope and spinning disk.
Transmission electron microscope.Experimental models
Organization and maintenance of mice colonies.
Related trainings:
B level certificate: Experimental models project designer (according to the French law; July, 2015).
Certificate of qualified staff to work with experimental models (according to the Spanish law; July, 2006).
Data science & Bioinformatics | Organizative | Communication | Technical | Funding & awards
Funding and awards
- La ligue contre le cancer postdoctoral fellowship. February 2011-January 2014. Cilia Biology and Neurogenesis Team. Institut de Biologie de l'Ecole Normale Supérieure (IBENS). Paris (France). INSERM U1024.
- Doctoral Award “Premio Extraordinario de Doctorado" by University of Salamanca (Spain). 2010
- Research internship grant. Supported by “Ministerio de Educación y Ciencia", Spain. 2007. Dpt. Cancer Biology and Genetics. Memorial Sloan Kettering Cancer Center, New York (USA). 2007, 5 months.
- Research internship grant. Supported by “Ministerio de Educación y Ciencia", Spain. 2005. Dpto. Biología Celular y Parasitología. University of Valencia (Spain).
- Predoctoral fellowship. Supported by “Ministerio de Educación y Ciencia, FPI program" Spanish Government. 2004-2008. Institute of Neuroscience of Castilla y León. University of Salamanca. Salamanca (Spain).
- Undergraduate collaboration fellowship. Supported by “Ministerio de Educación, Cultura y Deporte" Spanish Government. 2002-2003. Institute of Neuroscience of Castilla y León, Spain.
- Popular science awards
-
Al filo de lo posible: detectar y parar la neurodegeneración.
Second place. Popular science poster contest. VII Young researchers meeting. Barcelona, Spain.
February, 2009.
-
Un largo e inesperado viaje: de los huesos al cerebro.
Second place. Popular science poster contest. VI Young Researchers meeting. Granada, Spain.
February, 2008
-
¿Quién dijo que el cerebro no cambia?
Third place. Popular science poster contest. IV Young Researchers meeting. Madrid, Spain. March, 2006
-
Al filo de lo posible: detectar y parar la neurodegeneración.
Data science & Bioinformatics | Organizative | Communication | Technical | Funding & awards
Contact info
- Name: Gloria González Curto
- E-mail: gloria (at) gloriagcurto -dot- info
